안녕하세요! 10살이 훌쩍 넘은 반려견과 함께 살고 있는 보호자입니다. 언제까지나 아기 같던 우리 아이가 어느덧 노령견이 되었다는 사실, 문득문득 실감하며 마음이 찡해질 때가 많아요. 특히 몇 년 전부터 아이가 산책을 예전만큼 즐거워하지 않고, 소파에 뛰어오르던 모습을 더는 볼 수 없게 되었을 때... 정말 가슴이 철렁 내려앉는 기분이었죠. 단순한 노화 현상이겠거니 생각했지만, 병원에서의 진단은 '퇴행성 관절염'이었습니다.
처음에는 막막하고 속상한 마음뿐이었지만, 지금은 꾸준한 관리를 통해 아이가 훨씬 편안한 노후를 보내고 있답니다. 저와 같은 고민을 하고 계실 많은 보호자분들께 조금이나마 도움이 되고자, 제가 직접 겪고 공부하며 알게 된 강아지 퇴행성 관절염의 증상과 관리 방법에 대한 모든 것을 공유해 보려고 해요.
1. "우리 강아지도 관절염?" 놓치기 쉬운 초기 신호들



강아지들은 사람처럼 "나 여기 아파!"라고 말해주지 않잖아요. 그래서 보호자의 세심한 관찰이 정말 중요해요. 퇴행성 관절염은 서서히 진행되기 때문에 초반에는 알아차리기 정말 어렵습니다. 제가 저희 아이에게서 발견했던, 그리고 많은 노령견 보호자분들이 공감하시는 초기 증상들을 정리해 봤어요.
1.1. 산책과 움직임의 미묘한 변화
가장 먼저 눈에 띄는 변화는 바로 '활동량 감소'였어요. 예전에는 1시간도 쌩쌩하게 돌던 산책길을 30분도 채 안 돼서 멈춰 서고, 집에 가자고 조르기 시작하더군요. 계단을 오르내리는 것을 주저하거나, 차에 탈 때 번쩍 뛰어오르지 못하고 낑낑거리는 모습도 눈에 밟혔습니다. 이런 사소한 망설임이 바로 통증의 첫 신호일 수 있어요!
1.2. 행동과 자세의 이상 신호
자고 일어난 뒤나 한참 앉아 있다가 일어설 때, 다리를 살짝 절뚝이거나 뻣뻣해 보이는 모습을 보이나요?! 저희 아이는 유독 아침에 일어날 때 힘들어했어요. 또, 특정 다리에 체중을 싣지 않으려고 깽깽이걸음을 하거나, 앉고 눕는 동작이 부자연스러워지는 것도 중요한 증상 중 하나입니다.
강아지 다리 절뚝거린다면? 이 글 놓치면 수술까지..
사랑하는 반려견이 갑자기 절뚝거리며 다리를 들고 걷는 모습을 본 적 있으신가요? 처음에는 잠깐 삐끗했겠거니 하고 가볍게 넘기기 쉽지만, 실제로는 심각한 문제의 신호일 수 있습니다. 저 역
mypetinfo.co.kr
1.3. 특정 부위를 향한 집착
아이가 유독 한쪽 다리나 관절 부위를 계속 핥거나 씹는 행동을 보인다면, 그 부위에 통증이나 불편함이 있다는 강력한 신호일 수 있습니다. 핥는 부위의 털이 변색되거나 피부가 짓무르고, 살짝 부어있는 것처럼 보인다면 관절염을 의심해 봐야 해요. 만졌을 때 예민하게 반응하거나 아파하는 모습을 보인다면 더더욱 그렇고요.
2. 강아지 퇴행성 관절염, 도대체 왜 생기는 걸까요?


퇴행성 관절염(Osteoarthritis)은 관절의 충격을 흡수하는 '연골'이 점차 닳아 없어지면서 뼈와 뼈가 마찰을 일으켜 염증과 통증을 유발하는 질환입니다. 마치 자동차 타이어가 오래 쓰면 닳는 것과 비슷한 원리죠. 단순히 '나이가 들어서'라고 생각하기 쉽지만, 사실은 여러 복합적인 원인이 작용한답니다.
2.1. 노화와 유전적 요인
가장 대표적인 원인은 역시 노화입니다. 나이가 들면서 연골의 수분 함량과 탄력이 자연스럽게 감소하고, 재생 능력도 떨어지게 되죠. 특히 래브라도 리트리버, 골든 리트리버, 저먼 셰퍼드 같은 대형견이나 닥스훈트, 웰시코기처럼 허리가 긴 품종은 유전적으로 관절 질환에 취약한 경향이 있습니다.
2.2. 비만: 관절의 가장 큰 적!
이건 정말 아무리 강조해도 지나치지 않아요! 과체중은 관절에 지속적인 과부하를 줍니다. 연구에 따르면, 강아지가 정상 체중보다 10~20%만 초과해도 퇴행성 관절염 발생 위험이 크게 증가한다고 해요.
실제로 미국 수의내과학회(ACVIM)의 연구에서는 비만견의 관절염 유병률이 정상 체중견보다 2.3배 높게 나타났습니다. 체중 1kg을 감량하면 관절에 가해지는 부담은 그 몇 배 이상으로 줄어든다고 하니, 체중 관리는 선택이 아닌 필수입니다!!
2.3. 선천적 질환 및 과거 이력
슬개골 탈구나 고관절 이형성증 같은 선천적인 구조 이상이 있는 경우, 젊은 나이에도 관절염이 발생할 수 있습니다. 어렸을 때 교통사고나 낙상 등 외상을 입었던 경험, 혹은 격렬한 운동으로 인한 반복적인 관절 충격 역시 연골 손상을 가속화하는 주범이 될 수 있어요.
3. "완치는 없지만, 희망은 있습니다" 슬기로운 관리 생활



강아지 퇴행성 관절염은 한번 시작되면 연골을 완벽하게 예전 상태로 되돌릴 수 없는 '비가역적 질환'입니다. 그래서 '완치'보다는 통증을 줄이고 진행 속도를 늦춰 아이의 삶의 질을 높이는 '관리'에 초점을 맞춰야 해요. 제가 지난 몇 년간 꾸준히 실천하고 있는 관리 방법들을 소개해 드릴게요.
3.1. 체중 관리: 모든 관리의 시작이자 끝
수의사 선생님께서 가장 먼저, 그리고 가장 강력하게 말씀하신 부분이에요. 저희 아이도 관절염 진단 후 가장 먼저 다이어트에 돌입했습니다. 사료 양을 칼같이 계량하고, 고칼로리 간식은 모두 끊었어요. 대신 브로콜리나 파프리카 같은 채소를 간식으로 주니 포만감도 채우고 건강에도 좋더라고요. 체중이 2kg 정도 빠지니 확실히 걸음걸이가 한결 가벼워진 게 눈에 보였습니다.
3.2. 영양학적 접근: 관절 영양제와 처방식
이게 정말 효과가 있을까~? 싶었는데, 꾸준히 챙겨주니 확실히 도움이 되더라고요. 수의사와 상담 후 저희 아이에게 맞는 관절 영양제를 급여하고 있습니다.
- 글루코사민 & 콘드로이틴: 연골을 구성하는 대표적인 성분으로, 연골 보호와 재생에 도움을 줍니다.
- MSM (식이유황): 강력한 항염 및 통증 완화 효과가 있는 것으로 알려져 있어요.
- 오메가-3 (EPA, DHA): 염증 반응을 억제하는 데 효과적입니다. 특히 녹색입홍합 추출물은 오메가-3가 풍부하여 많이 추천됩니다.
- 보스웰리아: 관절을 부드럽게 움직이게 하는 윤활액 역할을 합니다.
이 외에도 관절 건강에 특화된 처방식 사료를 급여하는 것도 좋은 방법입니다.
3.3. 생활 환경 개선: 작은 변화가 만드는 큰 차이
미끄러운 마룻바닥은 관절에 정말 치명적입니다! 저는 거실과 아이가 주로 다니는 동선에 미끄럼 방지 매트를 전부 깔아주었어요.
소파나 침대에는 강아지용 계단(스텝)을 놓아주어 점프하는 습관을 막았고요. 푹신하고 체압을 분산시켜주는 메모리폼 방석을 마련해주니 잠도 훨씬 편안하게 자는 것 같아요.
특히 추운 겨울에는 관절 통증이 심해질 수 있어, 온열 매트를 깔아주어 몸을 따뜻하게 유지해주고 있습니다.
3.4. 똑똑한 운동과 마사지: 근육은 지키고, 관절은 보호하고!
관절이 아프다고 무조건 움직이지 않는 것은 오히려 좋지 않아요. 관절을 지지하는 근육이 약해져 상태가 더 나빠질 수 있기 때문이죠. 무리가 가지 않는 선에서 꾸준한 운동은 필수입니다.
- 짧고 규칙적인 산책: 긴 산책 한 번보다, 하루 2~3번 15분 내외의 짧은 산책이 관절에 부담을 덜 줍니다.
- 수영: 물의 부력을 이용해 관절에 가해지는 하중 없이 근력을 키울 수 있는 최고의 재활 운동이에요!
- 온찜질과 마사지: 잠들기 전, 따뜻한 수건으로 아픈 부위를 10~15분 정도 찜질해주고 부드럽게 마사지해주면 혈액순환을 돕고 근육을 이완시켜 통증 완화에 큰 도움이 됩니다.
4. 병원에서는 어떤 도움을 받을 수 있을까요?
가정에서의 관리도 중요하지만, 전문가의 도움을 받는 것은 더욱 중요합니다. 정기적인 검진을 통해 아이의 상태를 정확히 파악하고, 그에 맞는 전문적인 처치를 받아야 해요.
4.1. 정확한 진단과 정기 검진
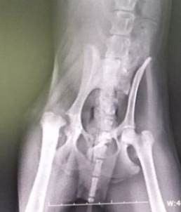
보호자의 관찰만으로는 한계가 있습니다. 6개월~1년에 한 번씩은 동물병원에 방문하여 수의사의 신체검사(촉진, 보행 평가)와 방사선(X-ray) 촬영을 통해 관절 상태를 주기적으로 확인하는 것이 중요합니다. 이를 통해 질병의 진행 속도를 파악하고 관리 계획을 수정할 수 있어요.
4.2. 적극적인 통증 관리: 약물 치료와 최신 요법
통증이 심할 경우, 아이의 삶의 질은 급격하게 떨어집니다. 이때는 수의사의 처방에 따라 비스테로이드성 소염진통제(NSAIDs)를 사용하여 염증과 통증을 적극적으로 조절해 주어야 합니다.
최근에는 2025년 기준으로 반려동물 관절염 통증 관리에 획기적인 치료법으로 평가받는 '항-NGF 단일클론항체 주사제'(예: 리브렐라)도 널리 사용되고 있습니다. 한 달에 한 번 주사로 신경 성장 인자(NGF)를 차단해 통증 신호를 효과적으로 제어하는 원리입니다.
4.3. 전문 재활 치료의 세계
최근에는 반려동물을 위한 전문 재활치료 병원도 많이 생겼어요. 수중 트레드밀(수중 러닝머신), 레이저 치료, 침 치료, 도수 치료 등 다양한 프로그램을 통해 근력 강화와 통증 완화에 도움을 받을 수 있습니다. 비용이 부담될 수 있지만, 아이가 눈에 띄게 활력을 되찾는 모습을 보면 정말 투자할 가치가 있다고 느껴져요.
사랑하는 반려견이 아파하는 모습을 보는 것만큼 가슴 아픈 일은 없을 거예요. 하지만 퇴행성 관절염은 불치병이 아니라, 보호자의 사랑과 관심으로 충분히 관리하며 함께 행복할 수 있는 질환입니다. 조급해하지 마시고, 오늘부터라도 아이의 작은 변화에 귀 기울여 주세요. 그리고 꾸준한 관리와 사랑으로 아이의 남은 견생이 편안하고 행복할 수 있도록 곁을 지켜주시길 바랍니다.

강아지 수명 단축시키는 건강관리 실수 5가지 초보 견주 필독
새로운 가족, 사랑스러운 강아지를 품에 안은 그 순간의 벅찬 감동을 기억하시나요? 아마 세상을 다 가진 듯한 기쁨과 함께, 이 작은 생명을 잘 돌볼 수 있을까 하는 막중한 책임감도 느끼셨을
mypetinfo.co.kr
강아지 치주염 증상? 예방 및 관리 안 하면 생기는 일..
강아지와 함께 살다 보면 어느 순간 입 냄새가 심해졌다는 걸 느낄 때가 있습니다. 처음에는 그냥 간식 냄새나 일시적인 구취라고 생각하지만, 사실 그 이면에는 강아지 치주염 같은 심각한 구
mypetinfo.co.kr